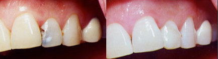
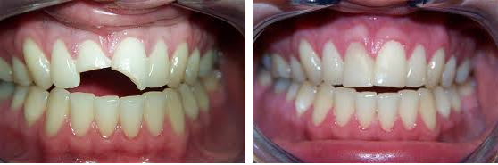
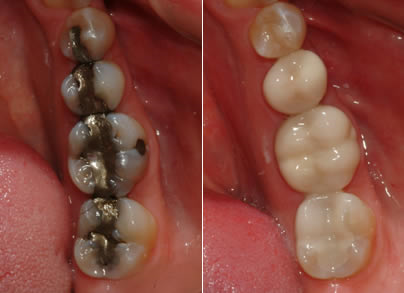
WHY TOOTH COLOR FILLINGS?
Tooth-colored fillings are made from durable plastics called composite resins.
Similar in color and texture to natural teeth, the fillings are less noticeable, and much more attractive, than other types of fillings.
Any filling will last longer with good oral hygiene.

