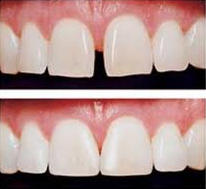
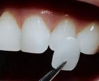
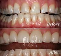
WHY COMPONEERS?
Componeers are pre-manufactured thin shells of tooth colored material that look like teeth. These thin shells come in various colors and can be sized and shaped to fit over your natural teeth. Componeers are then permanently fixed to the upper front and/or lower front teeth to conceal cosmetic imperfections such as chipped teeth, gaps, crowding, crooked teeth, stained or discolored teeth, and teeth that are too short or too long. Once applied to the teeth, they are then contoured and polished to give you a clean, natural looking smile. The Componeer is an affordable and less time consuming alternative for patients who are not financially prepared for porcelain veneers, or for clients who want to spend less time in the dental chair with the same outcome.
The benefits of using Componeer are:
- Attractive teeth and a new smile after only one visit
- Very little removal of healthy tooth structure
- Individual, customized shaping of the front teeth
- High quality permanent veneering material is always used
- Shine can be refreshed by polishing at any time
- Unlike porcelain veneers, they can be easily repaired
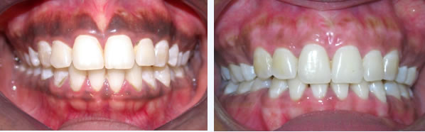
WHY BLEACHING OF TEETH?
This is a chemical procedure done to lighten the existing
shade of the teeth.

Types of bleaching:
1) Office bleaching:
In this procedure bleaching process is done at the dental clinic totally.
It takes around 45 minutes and the results obtained are instant!!!
2) Home bleaching:
This procedure is done at home by the patient.
First of all bleaching trays are fabricated by the dentist. Also the
Bleaching agents or chemicals are provided by the dentist.
As per the instructions of the dentist the patient has to wear the
Bleaching trays with the chemical in it for a specified amount of
time.
The effects obtained by this procedure are more gradual.
WHY TOOTH JEWELLERY?

Dentists of today are finding that expertise and more people who consult them are no longer really patients. They are individuals who desire perfectly aligned sparkling white teeth, and who may even ask for tooth jewellery. These cosmetic procedures have to be accomplished by professionals with professional products. Vivadent has developed the Skyce® system of tooth jewellery, which enables dentists to satisfy this cosmetic demand according to dental requirements.
Patients want a sparkling smile dentists want teeth to be healthy. We are committed to maintaining the health of teeth at all costs. Vivadent has developed Skyce® in such a way that dentists can carry out the procedure responsibly using tried-and-tested products. The dental jewellery does not need to be pre-treated and is bonded onto the tooth in the same way as an orthodontic bracket.
WHY GUMMY SMILE CORRECTION?
A smile is considered a "gummy smile" if a significant amount of gingival tissue (gums) can be seen as a person smiles. Although a gummy smile is considered a normal variation of human anatomy, many people with gummy smiles are very self-conscious when smiling. Fortunately, these smiles can be corrected with simple periodontal surgery procedures and with the advent of lasers in dentistry it has become like a cakewalk…
WHY BLEACHING OF GUMMING?
Gum depigmentation/bleaching is a procedure used in cosmetic dentistry to remove black spots or patches on the gums caused by excessive melanin.This can be very conveniently accomplished by LASERS.