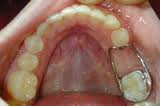
Space maintainers:
These are given to maintain the space for the permanent teeth in case of prematurely lost deciduous teeth.

PIT AND FISSURE SEALANTSPreventive treatment against tooth decay.

Topical fluoridesThis is done to make teeth immune against decay.
Fluorine is a vital element for proper growth and development of a tooth. A very small quantity of fluorine is present in drinking water and hence if in the growing phase topical fluorides is applied over the teeth it makes them immune to the decay!!!!!

These are special appliances designed to break the habits such as …..
1.thumb sucking
2.tongue thrusting
3.mouth breathing
4.lip biting
