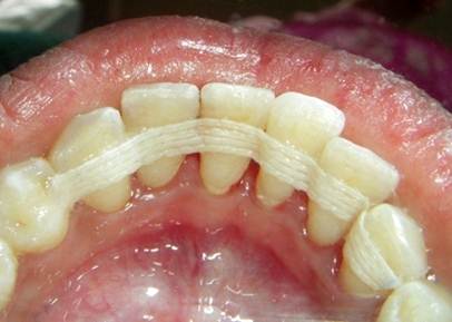
WHY WE NEED MOBILE TEETH SOLUTION?

Sometimes because of trauma to the teeth, the traumatic forces are transferred to the supporting and surrounding structures because of which the teeth become mobile
In such cases the mobile teeth may require to be stabilized so that the traumatized tissues get healed properly.
This can be achieved by SPLINTING the teeth for a specified amount of time. In splinting a group of teeth is binded together so that the forces are distributed and affected tissues and teeth get healed properly.
Splinting is done with a fibre splint which is very thin and adapts very well and hence the patient is very comfortable with splint on.