DEEP DENTAL CARE & IMPLANT CENTER
Reaching New Heights in Dentistry

  • ABOUT
  • FACILITIES
  • STERILIZATION
  • SERVICES
  • CLINIC TOUR
  • CONTACT
  • APPOINTMENT
  • FAQ

    Our Dental Services

    • Root Canal
    • Fixed Teeth
    • Implants
    • Tooth Color Fillings
    • Esthetic Dentistry
    • Correction Of Irregular Teeth
    • Gum Problem & Their Solutions
    • Kids Dentistry
    • Mobile teeth Solutions
    • Wisdom Teeth
    • Full mouth rehabilitation
    • Dentures

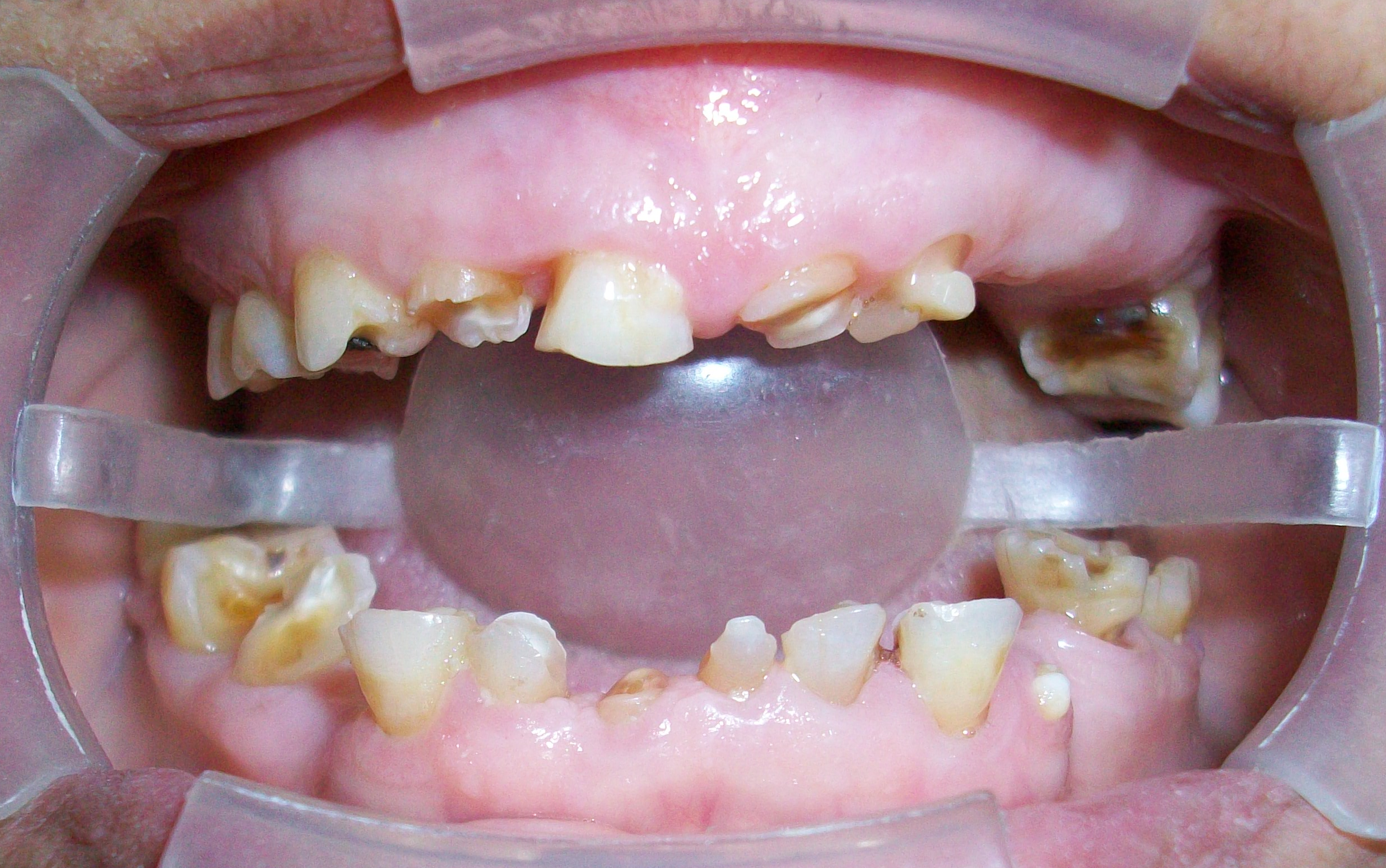
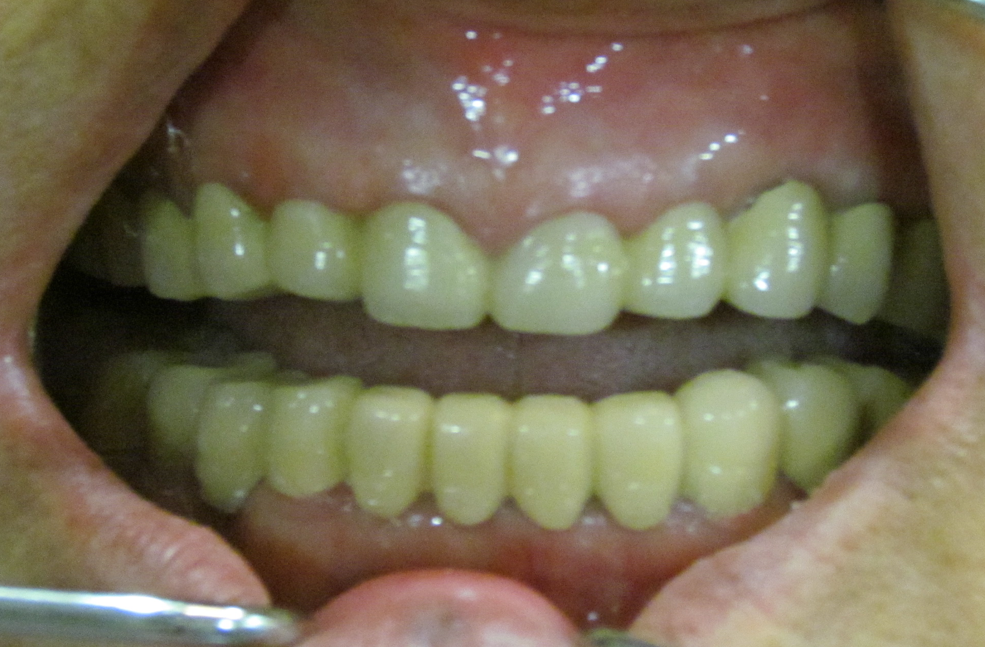
    WHY FULL MOUTH REHABILITATION?

    Dr.Deepa Vaghasiya has been a gold medalist in prosthodontics and specializes in all the procedures required for the full mouth reconstruction.

       

    Full mouth rehab is a multistep procedure which involves:

    1. [1] Thorough clinical and radiographical examination
    2. [2] Fabrication and study of diagnostic casts.
    3. [3] Extraction of hopeless teeth and root pieces
    4. [4] Root canal treatment for the decayed teeth
    5. [5] Scaling ,root planning and flap surgery according to the cases.
    6. [6] Bone grafting if required
    7. [7] Bite corrections as required.
    8. [8] Crowns and bridge placement for ESTHETIC and FUCTIONAL rehab.
    • Home
    • About
    • Facilities
    • Services
    • Clinic Tour
    • Contact
    • Appointments
    • FAQ
    • Login To Mail



    © 2013, All rights reserved by Deep Dental Care                                                                                               Design Developed By LaGenius Infocom